- Kamala Harris’ Vote Passes Senate Stimulus & COVID Budget
- Watch Detects Parkinson’s Progression
- Why Walmart Is A Better Bet Than Amazon 5:24 (r)
- Facebook Blocked In Myanmar After Users Protest Military Coup
- What Is Happening In Myanmar, and Why?
- CDC Bars Evictions Until April 1
- Germany Likely To Halt Air Traffic
- More On Jassy, Amazon’s New CEO
- NYC NORTHEASTER
- New Medical Insurance Enrollment
- Dems Push Biden Economic Plan & Budget
- Bitter Fight Australia and Google – Pulling Search?
- Biden’s Post-Pandemic Stimulus Rebuild
- FROM USDA ARS: MICRONUTRIENTS IMPORTANT FOR ALL OF US.
- FALSE & LIBELOUS CLAIMS AGAINST BILL GATES, A TRULY FINE MAN (op)
- Blockbuster Snowstorm To Strike New York
- Reuters & Dalio: U.S. Divided, In Terrible Financial Shape
- Straight Arrow News Launches In Omaha.
- Diagnosis Of Alzheimer’s Disease
Source : Bakardjian , AD=Alzheimer’s disease; VD=vascular dementia; FTD=frontotemporal dementia; PPA=primary progressive aphasia; DLB=dementia with Lewy bodies.
- Google Maps Will Show Vax Locations & Info.
- How Sleep Affects Heart Rate
- “Russia Ready To Extend Arms Agreement With Biden”
- American Vaccines 94.5% Effective, China’s 50.4%
- Tiny Home Villages May Explode
- Merchant ⇔ Consumer Direct “Full Stack” Coming For Sure – NOW!™.
- $18,000 Lambo eBike.
- SPACs Invade Wall St.
- Like Austin, Like This
- USPS Crushed ByPackage Delivery (2)
- Hidden Impact Of Your Daily Water Use
- Your $1,400 Is Coming
- Biden’s 2021 Record Employment Growth.
- China Overtakes U.S. As Investment Destination
- Legal Definition of Domestic Abuse Expands.
- India Ag Reform Gets More Opposition
- The Pandemic, Lost Friends, and the Coming Roaring Twenties
- Status Of Most American Rocket Programs
- Rihanna Tweet’s Indian Backlash?
- UCDavis, California’s A&M, Attempts To Protect All Davis
- Celebs, Rich, Famous, Politicians Getting Vaccine
- Verizon Wide N.E. Internet Outage Details
- -Percentage Of Population Vaccinated –
- Austin Economy Outperforms State, Nation.
- 33 New Oahu Restaurants
- Tim Ryan To Seek Ohio Senate Seat
- AZ GOP Censures Flake, Cindy McCain, Gov. Ducey – What A Shame
- Will U.S. Reach Pre-Pandemic Economy By Summer?
- Part of Big Sur U.S. Highway 1 Falls Into Ocean
- What the New Social Security May Mean
- Biden Keeps Pressure On Putin
- America On Biden Immigration
- U.S. Residential Rents Way Down
- Green Juices REALLYGood for You (2) 4:19
- CDC: We Don’t Know How Many Vax Doses There Are
- Split Signals End Of Antarctic Iceberg A68a
- China Stepping In, Taking More U.S. Production
- UK Climate Summit Is World’s “Last Best Chance”
- GM Will Kick EV Ass, No Cake Walk for Tesla
- PREVENTIVE MONOCLONAL ANTIBODY THERAPY IS EFFECTIVE.
- Mentors Critical Now.
- 4% Rule for Boomers, Millennials, Retirees
- Growing Number Own Spiritual Path
- America Owes This WY Town
- Timeline & Delay of COVID Cells
- Mortgage Rates Have Reached Bottom
- – Understand True U.S. Cost Of COVID-19, With Us A Long Time –
- Hollywood’s New, and Exiled, Kings
- – Know The Scale of Solar and Wind –
- VC Silicon Valley Is Sideways With Mainstream Media !
- Chipotle Curbside Pickup.
- IoT and The COVID Pandemic
- January Fintech Fundings over $100 Million Exceed $2.7 Billion.
- Walmart Offering Vaccine in TX, MD, IN, GA, LA, SC, NJ.
- Best Smart Bike Trainers 2021
- PFIZER: 200 MILLION U.S. DOSES BY MAY
- Warren: Doers vs. Dreamers.
- Faraday (EV) Joins Fisker and Nicola In $34 Billion SPAC Deal
- 100 Ways To Make Yourself Feel Good – They Add Up.
- Mass Facebook-WhatsApp Exodus Just Started – 4 Must-Do Signal Settings.
- Molecular Imaging Of Alzheimer’s Disease Pathology
- Will It Be The Roaring Twenties?
- Colorado Says NO To Wall St. Water Rights
- Elon Buys Two Oil & Gas Rigs For Starship Spaceports.
- Austin Homes U.S. Hottest in 2021.
- Hyundai – Kia New EV Offensive
- Of Course Double Masks Are More Effective.
- U.S. Employee Costs Rise Slightly 4Q20
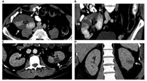
- Kidney Infarction In Patients With COVID-19
Source : AJKD , Computed tomography images from patients (A, B) 1 and (C-D) 2. (A) Axial and (B) coronal direction in the portal venous phase shows multiple perfusion defects (arrows) in the kidney allograft, most pronounced in the upper pole. (C) Axial and (D) coronal direction in the portal venous phase indicates a wedge-shaped perfusion defect dorsolateral in the interpolar area of the left kidney
- Still Another $ Billion Business Moves From Silicon Valley to Austin
- U.S. Down 3.5% After Growing 4% Last Quarter
- Who Is Right About Driverless Cars, Elon or Google’s Waymo?
- Are We This Close To War With China?
- Elon Drilling In Texas For Rocket Fuel
- Vaccines Alone Won’t Control Pandemic
- Stanford Study – Reduce Ageing Decline
- All Of Biden’s Executive Orders, And Other Notable Actions, So Far
- NRA Moving To Texas, Files NY BR
- Angry India Farmers Storm Red Fort
- Almost Every COVID Answer & Which Vaccine Is Best
- Reducing Financial Systemic Risk
- AI TOOLS FOR YOU, AI TRAINING, REVIEWS, URLS, PAPERS:
- a16z: Understanding AI By Easy Steps – The AI Canon
- Try One Yourself – The MIT Brain (AI) Course (1:10s)
- Half of ChatGPT references fake or errors – ENGINEERING – CS AI
- Why not to buy Ecoflow home batteries – they burn
- MIT AI tool goes from human sketch to CAD drawings to train engineers (w 5m audio) ENGINEERING AI
- Generative AI persona prompts as an innovative tool for clinical simulation and training – EDUCATION & MEDICINE – AI
- Bridging the gap between black box and glass box AI – BUSINESS – Finance – AI
- Transforming education with Generative AI tools – EDUCATION – AI
- Charting the future of generative AI in innovation and marketing – BUSINESS – Marketing & Support – AI
- AI disrupts marketing and media with astounding, almost instant images and video – BUSINESS, FINANCE, COMMUNICATIONS – Marketing & Support – AI
- AI in Cryptocurrency Compliance and Fraud Prevention – GOVERNMENT – CS – AI
- Evolving the self through human–AI collaboration – EDUCATION – AI
- Multimodal deepfake detection – BUSINESS – Finance – AI
- Generative AI for the Future of Education – EDUCATION – AI
- Large language models shaping the future of academia – EDUCATION – AI
- Elon’s on the right track with Optimus bots & AI – Amazon buying 600,000 bots – BUSINESS – Manufacturing – AI
- Generative AI and the pursuit of accumulative advantage in private equity – BUSINESS – Management – AI
- Using Artificial Intelligence to uncover patterns in autoimmune diseases – MEDICINE & HEALTHCARE – CS – AI
- Leveraging Generative AI to advance the transportation industry- ENGINEERING & Transportation– AI
- Contraceptive counseling practices in healthcare education through AI dialogues – EDUCATION & MEDICINE – AI
- Role of AI feedback in improving lesson design for vocational educators – EDUCATION – AI
- Applying retrieval-augmented generation models in healthcare research – MEDICINE & HEALTHCARE – CS – AI
- Generative AI improves firm productivity in online retail – BUSINESS – Management – AI
- Patient perspectives on using Generative AI for online healthcare services – MEDICINE & HEALTHCARE – CS – AI
- In AI it’s Google v. OpenAI & partners
- Leapfrog ahead with Generative AI – BUSINESS – Management – AI
- Transforming U.S. leadership through AI-driven innovation – GOVERNMENT & POLITICAL SCIENCE – CS AI AGI
- Distant imaging and the six phases of AI co-creation in marketing education – BUSINESS – Marketing & Support – AI
- Humans and robots working together for visual inspection with LLMs – ENGINEERING – CS – AI
- Generative AI transforming the work of knowledge engineers – ENGINEERING – CS – AI
- Large Language Models differ in managing challenging inpatient scenarios – MEDICINE & HEALTHCARE – CS – AI
- BJY™ & Federal Indemnity Capital may release AICash™ with PostgreSQL AI-AGI
- StartupHub.ai PostgreSQL AI leader snags $100M, $5B valuation – YLabs™ – ENGINEERING CS AI
- California community colleges launch free AI tutors – EDUCATION AI AGI
- Generative AI as a catalyst for organizational transformation – BUSINESS – Management – AI
- Understanding developer interactions with AI in daily work practices– EDUCATION & BUSINESS – Management – AI
- E-commerce experiences through generative AI-driven consumer interaction – BUSINESS – Marketing & Support – AI
- Google’s new AI tool, Jules, assists with coding and debugging – AIAssist™ – EDUCATION & ENGINEERING CS AI AGI
- Computer Science Exodus
- Computer Science Exodus – Generative AI reveals hidden drivers from online posts – ENGINEERING – CS – AI
- Boosting decisions with AI Agents & Generative AI suggestions – EDUCATION – AI – AIAssist™
- Financial side of Generative AI in massive healthcare operations – a revenue focus – MEDICINE & HEALTHCARE – CS – AI
- Another Synthetics™ – Hollywood AI full movie actor that may blow you away
- Anthropic’s Claude Sonnet 4.5 AI agent goes for coding supremacy – ENGINEERING CS AI AGI
- AI is getting really good at earthquakes – GEOPHYSICS & GEOLOGY – AI AGI
- Artificial intelligence is driving the future of asynchronous online teacher education – EDUCATION – AI
- Generative AI enabling the integration of tourism research and practice – BUSINESS – Management – AI
- How China stays ahead: Generative AI driving sustainable performance in manufacturing firms – BUSINESS – Management – AI
- Sam Altman: AGI by 2030 – ENGINEERING CS AGI
- Altman & Ive AGI EnergyAGI™-embedded device late next year – ELECTRICAL ENGINEERING CS AGI
- Large language models in research and academic applications – EDUCATION – AI
- Caution on privatization and AI governance – GOVERNMENT – CS – AI
- Simulating the impact of AI on tenure and academic publishing – EDUCATION – AI
- GAI shaping interior design education – ARCHITECTURE – AI
- Largest VC funding ever – $100 billion from NVIDIA to OpenAI & Sam – ENGINEERING CS AI AGI
- Generative AI technology in cost accounting – BUSINESS – AI
- Advancing explainable, automated business process redesign – BUSINESS – Management – AI
- AI Assistants highly positive impact on higher education, a case study – EDUCATION & BUSINESS – Management – AI
- Creating predictive models from unstructured data with Generative AI in business analytics – BUSINESS – Management – AI
- Artificial Intelligence driving current research and future challenges in colloid and interface science – EDUCATION – AI
- Google AI solves problem 137 human teams could not – ENGINEERING CS AI AGI
- Secrets of China’s Deepseek – ENGINEERING CS AI AGI
- . . . more
- Way Waymo appears to be far ahead of driverless Teslas, especially in Austin – ENGINEERING CS AGI
- AI INFERENCE PLATFORMS & SERVICE:These companies offer software and APIs that abstract away the hardware complexity, making inference easier for developers and enterprises.
- OpenAI: Beyond its flagship models, OpenAI offers inference services via an API, allowing developers to integrate powerful LLMs into their own applications. ENGINEERING – AI AGI
- Hugging Face: Provides an Inference API for accessing thousands of pre-trained AI models. This allows developers to use and experiment with models without managing their own hardware. ENGINEERING – AI AGI
- Together AI: Develops efficient model architectures and focuses on optimizing performance and scalability for various foundation models. ENGINEERING – AI AGI
- Replicate: Offers an API-only experience for running and deploying AI models, simplifying the process for developers. ENGINEERING – AI AGI
- Fireworks AI: Provides a platform for running, fine-tuning, and deploying LLMs, helping developers build new generative AI solutions efficiently. ENGINEERING – AI AGI
- Meta set to launch its new smart glasses this week ENGINEERING – AI AGI
- Ethical tensions in AI-Generated business case studies – BUSINESS – Management – AI
- Redundant research boom in the generative AI era – JOURNALISM & ENGINEERING – CS – AI
- Creating a blueprint for overcoming ethical challenges in AI outputs – ENGINEERING – CS – AI
- SPECIALIZED AI INFERENCE STARTUPS:
- Mythic: IoT, life safety, consumer analog AI chips for inference at the edge – ENGINEERING – AI AGI
- Groq: Creates a Language Processing Unit (LPU) – ultra-fast, low-latency processing for LLMs, chatbots, genAI – ENGINEERING – AI AGI
- SambaNova Systems: Builds reconfigurable dataflow units (RDUs) to accelerate massive training and inference – ENGINEERING – AI AGI
- Cerebras Systems: Wafer-scale chips for extremely large AI model high memory bandwidth – ENGINEERING – AI AGI
- d-Matrix: In-memory transformer and generative AI inference in data centers. – ENGINEERING – AI AGI
- _"COLUMNS™ AI SOURCES"
- AAKANKSHA CHOWDHERY-SAN FRANCISCO BAY AREA
- AAMIR HAMID - HALETHORPE
- AARON COURVILLE - MONTREAL
- AARON HERTZMANN - SAN FRANCISCO
- AARON WILBER - TALLAHASSEE
- AATOS HEIKKINEN - UPPSALA
- ADAM COATES - MOUNTAIN VIEW
- ADAM SVENDSEN - WARWICK
- ADRIAN CALMA - BERLIN
- AHMAD BIN RABIAH - SAN DIEGO
- AJAY KUMAR - NEW DELHI
- ALEX GRAVES - TORONTO
- ALEX J. CHAMPANDARD - VIENNA
- ALEX SMOLA - PALO ALTO
- ALEXANDER A. ALEMI - SAN FRANCISCO BAY AREA
- ALEXANDER KHAZATSKY - BERKELEY
- ALEXANDER KULESHOV - MOSCOW
- ALEXANDER PAN - BERKELEY
- ALEXANDRU NICULESCU - PRINCETON
- ALEXIS CONNEAU-SAN FRANCISCO BAY AREA
- ALLAN COLLINS - LEXINGTON
- ALLEN YIN - MENLO PARK
- AMIN SARAFRAZ - MIAMI
- ANA PAIVA - PORTO SALVO
- ANDREAS K. MAIER - ERLANGEN
- ANDREAS MUELLER - PALO ALTO
- ANDREJ KARPATHY - STANFORD
- ANDREW CARR-PROVO
- ANDREW CRITCH - BERKELEY
- ANDREW MAAS - SANTA CLARA
- ANDREW MCCALLUM - AMHERST
- ANDREW NG - PALO ALTO
- ANDY FITZE - ZURICH
- ANDY PARDOE - LONDON AREA
- ANGELA LANGDON - PRINCETON
- ANGIE BOGGUST - CAMBRIDGE
- ANIL K. JAIN - MICHIGAN
- ANIMA ANANDKUMAR - SAN FRANCISCO BAY AREA
- ANJALI GOPAL - GREATER BOSTON
- ANTONIO CHELLA - PALERMO
- ANTONIO TORRALBA - CAMBRIDGE
- ARAVIND RAJESWARAN - GREATER SEATTLE AREA
- ARSLAN CHAUDHRY - MOUNTAIN VIEW
- ASHVIN NAIR - BERKELEY
- ASIM KADAV - SAN FRANCISCO BAY AREA
- AUSTIN GEISERT - ABILENE
- AVIRAL KUMAR - BERKELEY
- BAILEY KIMMEL - ABILENE
- BAS R. STEUNEBRINK - SWITZERLAND
- BEN EYSENBACH - PALO ALTO
- BEN GOERTZEL - HONG KONG
- BEN GOERTZEL - WASHINGTON
- BEN LORICA - SAN FRANCISCO
- BEN TASKAR - WASHINGTON
- BENJAMIN J CLARK - ALBUQUERQUE
- BERNHARD SCHÖLKOPF - TÜBINGEN
- BJÖRN SCHULLER - LONDON
- BLAKE WULFE - SAN FRANCISCO BAY AREA
- BO WEI - SAULT STE MARIE
- BORIS KATZ - CAMBRIDGE
- BORIS OTKHMEZURI - CANTERBURY
- BRETT A. BECKER - DUBLIN
- BRODY HUVAL - SAN FRANCISCO BAY AREA
- BRYAN WILIE - HONG KONG
- CAROL REILEY-MOUNTAIN VIEW
- CASSIE KOZYRKOV - NEW YORK
- CHANGQING XU - HAMILTON
- CHELSEA FINN - SAN FRANCISCO
- CHIH-JEN LIN - TAIPEI
- CHRIS PAL - MONTRÉAL
- CHRISTIAN SZEGEDY - SAN FRANCISCO BAY AREA
- CRISTIAN CANTON-GREATER SEATTLE AREA
- CYNTHIA BREAZEAL - CAMBRIDGE
- DACHENG TAO - SYDNEY
- DANAH BOYD - BOULDER
- DANIEL C. DENNETT - MEDFORD
- DAPHNE KOLLER - SAN FRANCISCO BAY AREA
- DAVID HA - TOKYO
- DAVID HALL - STANFORD
- DAVID M. BLEI-NEW YORK
- DAVID SILVER - LONDON
- DAVID WINGATE-PROVO
- DAYA GUO - GUANGZHOU
- DEMIS HASSABIS - LONDON
- DHRUV BATRA-MENLO PARK
- DHRUV SHAH - SAN FRANCISCO BAY AREA
- DIETER FOX - SEATTLE
- DILAN GORUR - MOUNTAIN VIEW
- DIMITRIS KORAKOVOUNIS - ZOGRÁFOS
- ERIC COSATTO - PRINCETON
- ERIK BRYNJOLFSSON - STANFORD
- ERIK JONES - BERKELEY
- FABIO MOIOLI - MILAN
- FEI-FEI LI - STANFORD
- FEISI FU - QUINCY
- FRANCISCO HERRERA - GRANADA
- GANAPATHI PULIPAKA - LOS ANGELES
- GARY MARCUS - NEW YORK
- GENE KOGAN - NEW YORK
- GEOFFREY HINTON - TORONTO
- GEORGE ČEVORA - CAMBRIDGE
- GERALD JAY SUSSMAN - CAMBRIDGE
- GIRISH SASTRY - OAKLAND
- GREG CORRADO - MOUNTAIN VIEW
- GUILHERME M. CUNHA - SEATTLE
- HAIFENG CHEN - PRINCETON
- HANNA WALLACH - NEW YORK CITY
- HANY FARID - BERKELEY
- HARINI SURESH - CAMBRIDGE
- HARRY JIANG - TORONTO
- HARRY SHUM-REDMOND
- HEGOI GARITAONANDIA - AMSTERDAM
- HEIMO MÜLLER - VILLACH
- HEMANTH REDDY SAMIDI - BALTIMORE
- HENDRIK STROBELT - CAMBRIDGE
- HENRI PRADE - TOULOUSE CEDEX
- HILARY MASON - NEW YORK
- HIMA LAKKARAJU - BOSTON
- HIROYUKI NAKAHARA - WAKO
- HOLY LOVENIA - HONG KONG
- HONGDA TIAN - EVELEIGH
- HOPE SCHROEDER - STANFORD
- HOWARD E. SHROBE - CAMBRIDGE
- https://sciprofiles.com/profile/209242
- HUGO LAROCHELLE - MONTREAL
- IAIN BROWN - MARLOW
- IAN GOODFELLOW - SAN FRANCISCO BAY AREA
- ILYA SUTSKEVER - SAN FRANCISCO BAY AREA
- IZABELA WITOSZKO - SAN FRANCISCO
- J. P. GOWNDER - GREATER BOSTON
- JACK CLARK - SAN FRANCISCO
- JACOB STEINHARDT - BERKELEY
- JAMES PRATHER - ABILENE
- JAMES ZOU - PALO ALTO
- JAMIE SIMON - BERKELEY
- JEFF DEAN - PALO ALTO
- JEFFREY DEAN - PALO ALTO
- JENNIFER NGADIUBA - STREAMWOOD
- JEREMY HOWARD - QUEENSLAND
- JESUS RODRIGUEZ - NEW YORK
- JIAMENG FAN - BOSTON
- JIANLONG ZHOU - SYDNEY
- JIE HUA - CHAMPAIGN
- JIEFENG CHEN - MADISON
- JIESHAN CHEN - SYDNEY
- JIMMY BA - TORONTO
- JO VERMEULEN - TORONTO
- JOAN BRUNA - NEW YORK
- JOANNA BRYSON - BERLIN
- JOHAN SUYKENS - LEUVEN
- JOHN GUTTAG - CAMBRIDGE
- JOSH A. GOLDSTEIN - WASHINGTON
- JOSH COGAN - SAN FRANCISCO BAY AREA
- JOSH TENENBAUM - CAMBRIDGE
- JUDEA PEARL - BOELTER HALL
- JUDY BREWER - CAMBRIDGE
- JUERGEN SCHMIDHUBER - LUGANO
- JULIAN MCAULEY - SAN DIEGO
- JUNDA WU - SAN DIEGO
- JURGEN SCHMIDHUBER - LUGANO
- JUSTIN D. WEISZ - PITTSBURGH
- KACPER WARDEGA - BOSTON
- KAI CHEN - MOUNTAIN VIEW
- KAI-FU LEE - BEIJING
- KAIMING HE - MENLO PARK
- KALYANMOY DEB - EAST LANSING
- KAREN SIMONYAN - ARMENIA
- KARTHIKEYA KAUSHIK - BAVARIA
- KATE CRAWFORD - QUEENSLAND
- KATE DARLING - CAMBRIDGE
- KELSEY ALLEN - LONDON
- KEN GOLDBERG - BERKELEY
- KEVIN MORAN - FAIRFAX
- KEVIN P MURPHY - MOUNTAIN VIEW
- KLAUS-ROBERT MÜLLER - BERLIN
- KRISTINN R - REYKJAVIK
- KYLE A. HASENSTAB - SAN DIEGO
- LALANA KAGAL - CAMBRIDGE
- LAURA HERMAN - LONDON
- LAWRENCE LARSON - PROVIDENCE
- LEON BOTTOU - NEW YORK CITY
- LEX FRIDMAN - CAMBRIDGE
- LICHAO SUN - BETHLEHEM
- LUC DE RAEDT - ÖREBRO
- LUC VAN GOOL - ZURICH
- LUPING SHI - BEIJING
- MAANAK GUPTA - COOKEVILLE
- MARC'AURELIO RANZATO - NEW YORK
- MARIYA YAO - SAN FRANCISCO
- MARJAN ALIREZAIE - CANADA
- MARK DEPRISTO - LOS ALTOS
- MARK NEUBAUER - URBANA
- MARK TABLADILLO - ATLANTA
- MARTIN F. ROBBINS - MAIDENHEAD
- MATTHEW BOTVINICK - PRINCETON
- MELANIE MITCHELL - SANTA FE
- MERNA ALGHANNAM - BOSTON
- MICAH MUSSER - WASHINGTON
- MICHAEL I. JORDAN - BERKELEY
- MICHAEL JANNER - BERKELEY
- MICHAEL MULLER - NEW BRUNSWICK
- MICHAEL T BENNETT - BROOKLYN
- MICHAEL WOOLDRIDGE - OXFORD
- MICHELE FERRANTE - WASHINGTON DC
- MIKE TAMIR - SAN FRANCISCO BAY
- MILES BRUNDAGE - SAN FRANCISCO BAY AREA
- MONICA ROGATI - SUNNYVALE
- MORGAN R FRANK - SUFFOLK COUNTY
- MOUSTAPHA CISSE-ACCRA
- MURRAY SHANAHAN-LONDON
- MUSTAFA SULEYMAN - PALO ALTO
- NAFIS SADEQ - SAN DIEGO
- NAN DUAN - BEIJING
- NATHAN BENAICH - WEST END
- NATHANIEL LI - SAN FRANCISCO BAY AREA
- NATHANIEL ODELL - CHICAGO
- NICK BOSTROM - UNIVERSITY OF OXFORD
- NICK JENNINGS - LOUGHBOROUGH
- NIGEL WILLSON - ASHLEY HEATH
- NIKOLA KASABOV - AUCKLAND
- NITESH KUMAR - GURGAON
- NOVEEN SACHDEVA - SAN DIEGO
- OLGA RUSSAKOVSKY - PITTSBURGH
- OREN ETZIONI - SEATTLE
- ORIOL VINYALS - LONDON
- PANAGIOTA KIOURTI - BOSTON
- PARIKSHIT KUMAR BAIS - MADHYA PRADESH
- PASCALE FUNG - HONG KONG
- PATRICE SIMARD - BELLEVUE
- PAUL DENNY - AUCKLAND
- PEDRO DOMINGOS - SEATTLE
- PEI WANG - PHILADELPHIA
- PERCY LIANG - STANFORD
- PERCY LIANG - STANFORD
- PETER ASBECK - SAN DIEGO
- PETER E. HART - TOKYO
- PETER SKOMOROCH - SAN FRANCISCO
- PETER SZOLOVITS - CAMBRIDGE
- PHILIP S. YU - CHICAGO
- PHILIPP EBEL - BRISTOL
- PIETER ABBEEL - BERKELEY
- PRIMAL PAPPACHAN - PORTLAND
- QUOC V. LE - AMPHITHEATRE PARKWAY MOUNTAIN VIEW
- RACHEL THOMAS - BRISBANE
- RAIA HADSELL - LONDON
- RAJAT MONGA - SAN FRANCISCO BAY AREA
- RANA EL KALIOUBY - BOSTON
- RANDALL DAVIS - CAMBRIDGE
- RANDY OLSON - PORTLAND
- RAQUEL PEZOA - CHILE
- RAQUEL URTASUN - TORONTO
- REHAN AKBANI - SAN ANTONIO
- RENÉE DIRESTA - STANFORD
- REZA ZADEH - STANFORD
- RICHARD S. SUTTON - ALBERTA
- RICHARD SOCHER - LOS ANGELES
- ROBERT MAHARI - CAMBRIDGE
- ROBERTO YUS - BALTIMORE
- ROHAN CHITNIS - SAN JOSE
- ROHIN SHAH - BERKELEY
- RONALD VAN LOON - UTRECHT
- ROSALYN J. MORAN - LONDON
- RUOGU FANG - GAINESVILLE
- RUSLAN SALAKHUTDINOV - PITTSBURGH
- RUTH DRYSDALE - BRISTOL
- SABELA RAMOS - ZURICH
- SACHIN PATIL - BURLINGAME
- SAM ALTMAN - NEW YORK
- SAM BLACKWELL - LONDON
- SAMEEP TANDON - SAN FRANCISCO BAY AREA
- SAMIA KABIR - LAFAYETTE
- SAMUEL CAHYAWIJAYA - HONG KONG
- SAMY BENGIO - CUPERTINO
- SANDER DIELEMAN - LONDON
- SARA BORRONI - ITALY
- SASCHA WEIGEL - LEIPZIG
- SATYAPRIYA KRISHNA - ALLSTON
- SAVITHA SAM ABRAHAM - ADELAIDE
- SCOTT REED - LONDON
- SE-EUN YOON - SAN DIEGO
- SEAN GARDNER - GREATER SEATTLE AREA
- SEBASTIAN RASCHKA - MADISON
- SEBASTIAN THRUN - MOUNTAIN VIEW
- SEPP HOCHREITER - LINZ
- SERAFIM BATZOGLOU - PALO ALTO
- SERENA LAMBLEY - DALGETY BAY
- SERGEY LEVINE - BERKELEY
- SHADEN SMITH - SANTA CLARA
- SHARAN NARANG-SUNNYVALE
- SHINJAE KWON - ATLANTA
- SHIXIAN WEN - LOS ANGELES
- SID REDDY - BERKELEY
- SIVAN SCHWARTZ - HAIFA
- SOFIA VALLECORSA - GENEVA
- SOUMITH CHINTALA - NEW YORK
- STEFANOS ZAFEIRIOU - LONDON
- STEPHANIE HOUDE - CAMBRIDGE
- STEPHEN BOYD - STANFORD
- STEPHEN J. GUY - MINNEAPOLIS
- STUART J. RUSSELL - BERKELEY WAY WEST
- STUART RUSSELL - BERKELEY
- SUMMER YUE - SAN FRANCISCO
- TADAHIRO TANIGUCHI - JAPAN
- TAO WANG - SANTA CLARA
- TARRYSINGH - HOUSTON
- TENGYU MA - PALO ALTO
- TERRENCE SEJNOWSKI - LA JOLLA
- THOMAS LATOZA - FAIRFAX
- THOMAS LIPPERT - JÜLICH
- THORSTEN WEBER - BERKELEY
- TIANYI ZHANG - WEST LAFAYETTE
- TIEN YIN WONG - SINGAPORE
- TIM FININ - BALTIMORE
- TIMNIT GEBRU - STANFORD
- TOM DAVENPORT - CAMBRIDGE
- TOM SILVER - MIT
- TOMÁŠ MIKOLOV - PRAGUE
- TOMMI MIKKONEN - FINLAND
- TREVOR DARRELL - BERKELEY
- TREVOR J. BIHL - DAYTON
- TYLER CODY - VIRGINIA
- UNA-MAY O'REILLY - CAMBRIDGE
- VAPNIK - PLAINSBORO
- VERA LIAO - NEW YORK CITY
- VINCENT BOUCHER - MONTREAL
- VIPIN KUMAR - MINNEAPOLIS
- VIVIAN LIU - NEW YORK
- WANQING LI - WOLLONGONG
- WEI CHENG - PRINCETON
- WEICHAO ZHOU - SAN FRANCISCO BAY AREA
- WES ROTH - SOUTH DAKOTA
- WHITNEY ZHANG - CAMBRIDGE
- WILLY CHUNG - HONG KONG
- XI YIN - BAY AREA
- XIANG YU - SAN JOSE
- XIWEI XU - SYDNEY
- YAMAKAWA HIROSHI - TOKYO
- YANN LECUN - NEW YORK
- YI ZENG - BEIJING
- YOSHIHIRO MARUYAMA - CANBERRA
- YOSHUA BENGIO - MONTRÉAL
- YU WANG - SAN DIEGO
- YULIA RUBANOVA - KING'S CROSS
- YUN SOUNG KIM - ATLANTA
- YUPENG HOU - SAN DIEGO
- ZACHARY NOVACK - SAN DIEGO
- ZHENGYOU ZHANG - BELLEVUE
- ZHOUHANG XIE - LA JOLLA
- ZIV EPSTEIN - CAMBRIDGE



















